
El mal es un misterio, una circunstancia que puede intentar explicarse desde distintas perspectivas y, aun así, no terminar de entender su origen y su razón de ser, el hecho incontrovertible de que existe a pesar de que, se supone, lo deseable es que no existiera.
En este sentido, la neurociencia moderna, empeñada en exponer la naturaleza humana ad ovo, desde el punto mismo donde todo surge, el cerebro, se ha manifestado en algunas ocasiones al respecto, la más reciente, ahora que el investigador alemán Gerhard Roth asegura haber localizado el punto exacto de dicho órgano donde nace el mal.
Roth ha estudiado por varios años el cerebro de criminales sentenciados, especialmente asesinos, violadores y ladrones, en busca de similitudes que explicaran o descartaran una relación entre estas conductas y alguna constante fisiológica.
Según sus conclusiones âtodavía provisionales, como todo en la cienciaâ esta manifestación del mal podría originarse en un “mancha” que se ubica en el lóbulo central y que, asegura el científico, comparten los cerebros de estas personas.
Para descubrir esto, Roth y su equipo analizaron las ondas cerebrales de convictos mientras estos veían videos breves que mostraban escenas de violencia explícita, constatando la respuesta más o menos previsible de que las áreas donde se registran emociones como la compasión o la pena, simplemente no mostraron ninguna actividad.
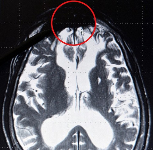
Lo sorprendente, sin embargo, fue que al tomar radiografías del cerebro de los criminales, en casi todos ellos puede observarse una masa oscura en la región central, la cual sugiere, según Roth, que existe una predisposición genética a la violencia, aunque igualmente influyen factores de neuroquímica (en particular relacionados con la segregación de serotonina). En cualquier caso, dice el investigador, “esta es definitivamente la región del cerebro donde el mal se forma y donde este se esconde”.
Fuente: pijamasurf